Mang thai 3 tháng trong bụng, đi siêu âm mới thấy mình đang mang “chùm nho”, sự thật khiến cả nhà ngã ngửa...
Một người dùng mang tên 0tisdriftwood của trang Imgur đã chia sẻ về câu chuyện mang thai bi kịch của vợ mình.
Sau khi que thử thai nhảy 2 vạch, cả gia đình người này vô cùng vui mừng và hạnh phúc. Việc mang thai của vợ anh những tháng đầu cũng khá thuận lợi, không có gì đáng chú ý. Cho đến tháng thứ 3, cô bắt đầu cảm thấy mệt mỏi, có những biểu hiện ốm nghén khác thường. Cô gần như chẳng ăn uống được gì, suốt ngày nôn ọe rất khó chịu, da thịt trở nên xanh xao, nhũn nhão, cơ thể không còn sức lực…
|
Que thử nhảy 2 vạch, cả nhà vui mừng khi chuẩn bị có thành viên mới (Ảnh: Interenet)
Được biết lần mang thai trước của cô không hề bị ốm nghén và rất khỏe mạnh. Từ sự mệt mỏi, gia đình bắt đầu cảm thấy lo lắng có điều bất ổn. Cuối cùng sau khi đến bệnh viện siêu âm, bác sĩ mới thông báo một tin khiến cả nhà anh đều rụng rời: vợ anh không hề mang thai!
|
Cô bắt đầu thấy những biểu hiện ốm nghén khác thường (Ảnh: Internet)
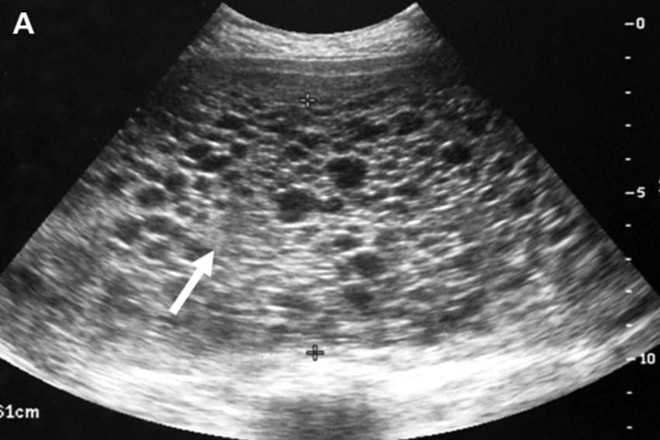
Nhìn vào hình ảnh siêu âm, bụng của người vợ không có phôi thai mà chỉ là những khối u nhỏ chi chít y hệt một chùm nho. Đây là một hiện tượng hiếm gặp, gọi là thai trứng.
|
Kết quả siêu âm cho thấy trong bụng cô toàn những túi nhỏ chi chít như chùm nho (Ảnh: Internet)
Thai trứng là do sự phát triển bất thường lớp tế bào nuôi có trong gai nhau. Bình thường, sau khi tinh trùng kết hợp với noãn sẽ trở thành trứng thụ tinh, phát triển thành thai nhi và các phần phụ như nhau và túi ối. Trong một số trường hợp, tế bào nuôi phát triển quá nhanh, tổ chức liên kết và các mao mạch của mạch máu rốn ở gai nhau không phát triển kịp. Gai nhau bị thoái hóa, phù nề tạo thành các túi chứa dịch dính vào nhau giống như chùm nho và chiếm phần lớn buồng tử cung. Tình trạng thai trứng đa số là lành tính, tuy nhiên cũng có khoảng 10% trường hợp có thể phát triển thành biến chứng ác tính như thai trứng xâm lấn hay ung thư nhau thai.
|
Hiện tượng thai trứng đa phần là lành tính, chỉ khoảng 10% có thể xảy ra biến chứng (Ảnh: Internet)
Ngay lập tức, người vợ đã được tiến hành hút thai trứng ra. Vì các khối u đã bám khá sâu vào tử cung, các bác sĩ đã phải chuẩn bị để loại bỏ toàn bộ tử cung khi cần thiết. Nhưng rất may mắn, bác sĩ đã hút ra thành công, cô không gặp biến chứng, không cần cắt bỏ tử cung, sức khỏe sau đó cũng nhanh chóng phục hồi.
Theo các bác sĩ sản khoa, thai trứng có thể xác định bởi các triệu chứng bất thường như:
- Rong huyết trong thời kỳ đầu mang thai, dễ bị chẩn đoán nhầm là dọa sảy.
- Thai phụ có thể nghén nặng, nôn ọe nhiều, thường mệt mỏi, xanh xao, niêm mạc nhợt, hay bị hoa mắt chóng mặt, hồi hộp, run tay, vã mồ hôi…
- Trong giai đoạn giữa thai kỳ, sờ không thấy phần thai, không nghe tim thai.
- Đau và cảm giác nặng nề ở vùng chậu.
- Tử cung to bất thường không tương xứng với tuổi thai.
- Bệnh có thể gây ra các biến chứng như tăng huyết áp, thiếu máu hoặc cường chức năng tuyến giáp.
|
Quan trọng nhất vẫn là cả nhà khỏe mạnh ở bên nhau (Ảnh: Internet)
Mặc dù thất vọng vì gia đình vẫn chưa thể có thêm thành viên mới, người chồng thật sự cảm thấy rất mừng vì sức khỏe của vợ vẫn được bảo đảm. Anh cho biết mình hài lòng và biết ơn với những gì mình đang có, một gia đình nhỏ với cậu con trai kháu khỉnh, quan trọng nhất là cả nhà được bình an bên nhau.
Đây cũng là một câu chuyện nhắc nhở mọi người, đừng bao giờ chủ quan với những tình trạng bất thường trong thai kỳ. Nếu phát hiện sớm và có sự chẩn đoán, chữa trị sớm của bác sĩ, sẽ có thể hạn chế được nhiều nguy cơ và biến chứng nguy hiểm cho thai phụ.
(Nguồn: littlethings)
Đinh Hương
Tin bài liên quan
Các tin bài khác
Thời tiết hôm nay (08/01): Hà Nội rét đậm, nhiệt độ thấp nhất 8 độ C
Thời tiết hôm nay (06/01): Miền Bắc tiếp tục rét đậm, thấp nhất 12 độ C
Thời tiết hôm nay (02/01): Bắc Bộ và Bắc Trung Bộ rét đậm
Chính sách mới có hiệu lực từ tháng 1/2026
Đọc nhiều
Bạn bè quốc tế chúc mừng Đại hội XIV của Đảng Cộng sản Việt Nam
Tiến sĩ Nguyễn Hồng Sơn: Phát huy trí tuệ kiều bào để thúc đẩy kinh tế tư nhân và đổi mới sáng tạo
95 năm Đảng Cộng sản Việt Nam: Ngọn cờ dẫn lối dân tộc qua mọi chặng đường
[Ảnh] Lan tỏa tình hữu nghị qua giao lưu nghệ thuật quốc tế “Chào năm mới 2026”
Bờ cõi biển đảo
Miền đất - Con người Cuộc sống vùng biên Nhịp sống biển đảo Lịch sử chủ quyền Giao lưu hữu nghị
7 tỉnh, thành phía Nam phối hợp ngăn tàu cá vượt biên, chống khai thác IUU
Trao Bằng Tổ quốc ghi công liệt sĩ Phạm Văn Tuân hy sinh tại Trường Sa
Bộ Tư lệnh Vùng Cảnh sát biển 4 động viên cán bộ, chiến sĩ trước nhiệm vụ chống IUU dịp Tết
[Video] 10 sự kiện văn hóa, thể thao và du lịch tiêu biểu năm 2025
Plan International Việt Nam hỗ trợ khẩn cấp hơn 1,8 tỷ đồng cho người dân Đà Nẵng sau bão
Vietnam Happy Fest 2025: Lan tỏa những giá trị hạnh phúc giữa lòng Hà Nội
[VIDEO] Tổ chức Cứu trợ Trẻ em tiếp sức trẻ em Bắc Ninh sớm quay về nhịp sống sau thiên tai
[Video] World Vision hỗ trợ hơn 1.100 người dân Quảng Ngãi tiếp cận nước sạch bền vững
[Video] Đồng tâm, dốc sức cứu trợ đồng bào vùng lũ
[Video] Ấn Độ tặng Giải thưởng Hòa bình Romesh Chandra cho bà Nguyễn Thị Bình
[Video] Lễ dâng y Kathina tại Đà Nẵng: Sợi dây gắn kết Phật giáo các nước châu Á
Cả nước hướng về Thái Nguyên: Chung tay giúp người dân vượt qua mưa lũ
Trailer lễ hội Văn hóa Thế giới tại Hà Nội lần thứ nhất
[Video] Không khí rộn ràng ngày khai giảng năm học mới trên cả nước
[Video] Petr Tsvetov: Việt Nam ấm áp và thân thuộc
Việt Nam - Cuba: 65 năm cùng chung nhịp đập
[Video] Thiếu tướng Lào kể chuyện nhân dân Việt Nam che chở giữa mưa bom 1972





