Đau bụng, chóng mặt, người đàn ông đi khám và phát hiện thứ không thể ngờ đến trong bụng
Vào ngày 29/3 năm ngoái, ông Glenford Turner, một cựu binh tại Connecticut, Mỹ đã tới bệnh viện West Haven để kiểm tra sau khi bị đau bụng trong một thời gian dài cũng như có hiện tượng chóng mặt.
Các bác sĩ đã cho ông chụp MRI, nhưng thủ thuật này đã phải dừng lại ngay lập tức khi bệnh nhân cho biết cơn đau ở bụng của ông ngày càng nghiêm trọng.
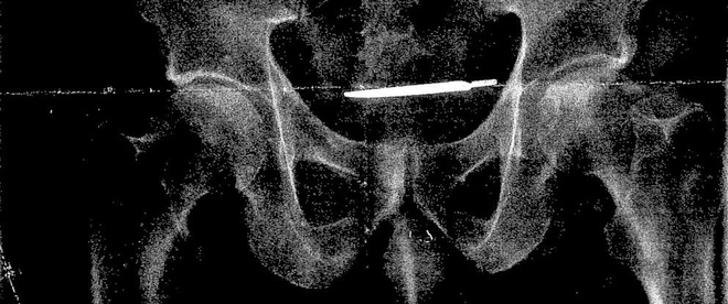
Sau đó, họ lại chụp X-quang cho người đàn ông này, và phát hiện ra... một chiếc dao mổ đang yên vị trong cơ thể ông Turner.
![]() |
Con dao mổ đã nằm trong bụng ông Glenford Turner bốn năm.
Các bác sĩ xác nhận đây là một dụng cụ mổ còn sót lại trong ca phẫu thuật tiền liệt tuyến cho ông Turner tại bệnh viện West Haven VA vào năm 2013.
Ông Joel Faxon, luật sư của ông Turner cho biết: "Ông Turner đã phục vụ cho đất nước chúng ta hàng thập kỷ một cách đầy tự hào.
Thật kinh khủng khi biết rằng đổi lại, bệnh viện VA lại cảm ơn ông ấy bằng cách cho một bác sĩ mổ mới vào nghề thực hiện ca phẫu thuật, một người chẳng hề có năng lực qua việc để mất dao mổ trong bụng ông Turner và chẳng hề bận tâm đến việc đi tìm nó".
![]() |
Bệnh viện West Haven VA. (Ảnh: Internet)
Ông Turner đã vô cùng sốc trước sự tắc trách và sai sót y khoa vô cùng nghiêm trọng này và đã quyết định đâm đơn kiện bệnh viện.
Hiện bệnh viện VA chưa đưa ra bình luận gì về vụ việc.
Theo ABC News
http://abcnews.go.com/US/army-vet-va-hospital-left-scalpel-inside-abdomen/story?id=52365991
Thanh Hương
Tin bài liên quan
Các tin bài khác

G-DRAGON 2025 world tour - biểu tượng toàn cầu chính thức trở lại

Áp thấp nhiệt đới gần Biển Đông khả năng mạnh lên thành bão

Bão số 10 mạnh cấp 12 đổ bộ Nghệ An - Hà Tĩnh

Bão Bualoi tiến vào Biển Đông trở thành cơn bão số 10
Đọc nhiều

Nguyễn Như Huy đối thoại với bản thân qua Bắt mặt (Catching Faces)

Ông Trương Cảnh Tuyên được bầu giữ chức Chủ tịch UBND thành phố Cần Thơ

Tin quốc tế ngày 06/10: Trung Quốc ứng phó khẩn cấp với bão Matmo, Thái Lan yêu cầu dân Campuchia rời khỏi biên giới

Tin quốc tế ngày 04/10: 42 tàu cứu trợ Gaza bị Israel chặn, Mỹ cân nhắc phát hành đồng xu in hình ông Trump
Bờ cõi biển đảo
Miền đất - Con người Cuộc sống vùng biên Nhịp sống biển đảo Lịch sử chủ quyền Giao lưu hữu nghị

Vui Tết Trung thu “Bố ở Nhà giàn – Con ở nhà có bạn”

Thiếu nhi Việt - Lào đón Trung thu tại biên giới Quảng Trị

Tư lệnh Hải quân Việt Nam tiếp Tùy viên quốc phòng Liên bang Nga
![[Video] Không khí rộn ràng ngày khai giảng năm học mới trên cả nước](https://thoidai.com.vn/stores/news_dataimages/2025/092025/05/15/video-khong-khi-ron-rang-ngay-khai-giang-nam-hoc-moi-tren-ca-nuoc-20250905155537.jpg?rt=20250905155544?250905065119)
[Video] Không khí rộn ràng ngày khai giảng năm học mới trên cả nước
![[Video] Petr Tsvetov: Việt Nam ấm áp và thân thuộc](https://thoidai.com.vn/stores/news_dataimages/2025/092025/01/22/video-petr-tsvetov-viet-nam-am-ap-va-than-thuoc-20250901222230.jpg?rt=20250901222235?250902094525)
[Video] Petr Tsvetov: Việt Nam ấm áp và thân thuộc

Việt Nam - Cuba: 65 năm cùng chung nhịp đập
![[Video] Thiếu tướng Lào kể chuyện nhân dân Việt Nam che chở giữa mưa bom 1972](https://thoidai.com.vn/stores/news_dataimages/2025/092025/01/18/thie-u-tu-o-ng-la-o-ke-chuye-n-cover20250901181254.jpg?rt=20250901181300?250901073558)
[Video] Thiếu tướng Lào kể chuyện nhân dân Việt Nam che chở giữa mưa bom 1972
![[Video] Bạn bè quốc tế gửi lời chúc tới nhân dân Việt Nam](https://thoidai.com.vn/stores/news_dataimages/2025/092025/01/14/video-ban-be-quoc-te-ky-vong-mot-viet-nam-hung-cuong-hanh-phuc-20250901144320.jpg?rt=20250901144327?250901073437)
[Video] Bạn bè quốc tế gửi lời chúc tới nhân dân Việt Nam
![[Video] Nhiều hoạt động cứu trợ người dân Nghệ An bị lũ lụt](https://thoidai.com.vn/stores/news_dataimages/2025/072025/29/14/video-nhie-u-hoa-t-do-ng-cu-u-tro-ngu-o-i-da-n-nghe-an-bi-lu-lu-t-20250729140126.jpg?rt=20250729140131?250729023430)
[Video] Nhiều hoạt động cứu trợ người dân Nghệ An bị lũ lụt
![[Video] Người truyền cảm hứng về tình yêu nước](https://thoidai.com.vn/stores/news_dataimages/2025/042025/29/09/nguoi-truyen-cam-hung-ve-tinh-yeu-nuoc-20250429094951.jpg?rt=20250429094956?250429105554)
[Video] Người truyền cảm hứng về tình yêu nước

Sinh viên Lào đi chùa tắm Phật mừng Tết cổ truyền Bunpimay
![[Video] 60 phút - Hành trình thay đổi cuộc đời](https://thoidai.com.vn/stores/news_dataimages/2025/032025/25/11/croped/video-60-phut-hanh-trinh-thay-doi-cuoc-doi-20250325112448.png?250325023758)
[Video] 60 phút - Hành trình thay đổi cuộc đời

MV "Bắc Bling": Cụ già, em nhỏ ngân nga, du khách gần xa tỏ bày hứng thú
![[Video] Dự án CAF: Ươm mầm những công dân toàn cầu tương lai](https://thoidai.com.vn/stores/news_dataimages/anhvm/022025/11/15/FSave.com_Facebook_Media_004_662439456116001v_21.jpg?250228123313)
[Video] Dự án CAF: Ươm mầm những công dân toàn cầu tương lai
![[Video] Du khách quốc tế trải nghiệm lễ Phật đầu năm tại chùa Tam Bảo (Đà Nẵng)](https://thoidai.com.vn/stores/news_dataimages/2025/022025/07/14/video-du-khach-quoc-te-trai-nghiem-le-phat-dau-nam-tai-chua-tam-bao-da-nang-20250207142038.jpg?rt=20250207142058?250228123446)
[Video] Du khách quốc tế trải nghiệm lễ Phật đầu năm tại chùa Tam Bảo (Đà Nẵng)

Tết của bác sĩ trực cấp cứu - hồi sức tích cực

Đại sứ nhóm G4 hát "Năm qua đã làm gì"
![[Video] Bản hòa ca tình hữu nghị chào năm mới 2025](https://thoidai.com.vn/stores/news_dataimages/2025/012025/21/14/video-ban-hoa-ca-tinh-huu-nghi-chao-nam-moi-2025-20250121142351.jpg?rt=20250121142354?250121023412)